Caplash Dental location

373 Steeles Ave W. Suite 201 Brampton, Ontario L6Y 0P8

Caplash Dental opening hours

Opening Hours Mon-Fri: 10am – 8pm
Sat-Sun 9am-5pm

Caplash Dental phone

Call 905-451-2999 to book an appointment Open on Sundays!

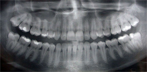
Digital Radiography Brampton

Digital radiography is a type of X-ray imaging that uses digital X-ray sensors instead of traditional photographic film. This method allows us to take out x-rays with almost ninety percent reduced exposure to harmful radiation. Moreover, the image quality helps in analyzing and seeing things more clearly.

The benefits of using digital x-rays:

Digital x-rays have several benefits over traditional systems. Some of the major advantages include,

  • Immediate image availability and preview
  • Removal of costly film processing
  • Greater dynamic range and the ability to apply superior image processing techniques that increase the quality of the overall image display
  • Electronic transfer of images to another specialist or dentist.
  • Reduced need for corrosive chemicals.

Digital advanced systems also come with tools that enable subtraction radiography- a process used for digitally comparing current and previous images. The technique leaves a clear picture of the portion of the mouth that has been affected or is different. This helps us in catching the smallest changes that may occur inside your mouth.

Digital x-rays: the procedure:

The process does not take more than one appointment. Digital radiography involves inserting a sensor inside your mouth to capture images of your gums and teeth. This electronic devise is also connected to our computer, enabling instant depiction of x-rays on our computer screen, with no development step in the middle.

It is almost impossible to practice dentistry without using x-ray technology. Digital radiographs allow us to diagnose and treat oral problems not yet visible to the humkan eye, including gum disease, early tooth decay, abnormal growths and abscesses. There is absolutely no doubt that since state-of-the-art x-rays have become available, we have been able to save countless teeth.

To know more about our services and to avail advanced technologies such as digital X-rays in Brampton, feel free to contact us today! We adhere to the highest standards of dental care!

Digital xray Brampton
Caplash Dental whatsapp