Caplash Dental location

373 Steeles Ave W. Suite 201 Brampton, Ontario L6Y 0P8

Caplash Dental opening hours

Opening Hours Mon-Fri: 10am – 8pm
Sat-Sun 9am-5pm

Caplash Dental phone

Call 905-451-2999 to book an appointment Open on Sundays!

Periodontal Disease Treatment Brampton

Periodontal diseases are gum infections that gradually damage the support of your teeth. They usually begin when plaque starts to build up inside your mouth, leading to invisible bacterial growth. If the problem is not prevented timely, the damage can become permanent.

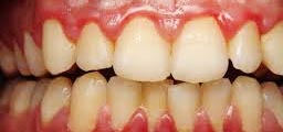
GINGIVITIS

GINGIVITIS tratment brampton

This is the first stage of periodontal disease, that can be caused by a variety of factors, such as Tobacco use, poor brushing habits, family history of. bad oral health, diabetes, pregnancy, poor dietary habits, some medications and the likes of it.

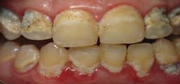
PERIODONTITIS

PERIODONTITIS tratment brampton

If gingivitis is not treated, on time, it can further develop into Periodontitis, i.e. advanced Gum Disease. When the disease reaches this stage, the bacterial infection starts to attack your bone and gums, causing them to deteriorate. You will start to notice, spaces between your teeth, recession of gums, and premature loosening of your teeth. It is important to treat such conditions as early as possible to avoid further damage. An all-inclusive oral exam can help in detecting this problem early on.

Periodontal treatment: The procedure:

Periodontal treatment normally begins with consultation. The length of the treatment will depend on the severity of the problem.

STAGE 1:

Examination: On your first appointment our dentists will examine your mouth to see the extent of damage and what procedure you will need. Depending on how far the problem has progressed, treatment may vary. For Periodontitis, treatment will involve, deep scaling and root planing. On the other hand, more advanced cases will require surgical treatment. We will also discuss in detail about what to expect after the treatment, brushing techniques, after care, follow up's, along with related issues.

STAGE 2:

Initiation of the treatment: Once you are ready for the treatment, our dentist will start the procedure

At the office of Dr. Amit Caplash, we are committed to helping you achieve a perfect smile that gleams with health and beauty. Our fully functional clinic can handle all kinds of periodontal cases. To see how we can help, please get in touch with us today at 905-451-2999 and ask for consultation.

Caplash Dental whatsapp