Caplash Dental location

373 Steeles Ave W. Suite 201 Brampton, Ontario L6Y 0P8

Caplash Dental opening hours

Opening Hours Mon-Fri: 10am – 8pm
Sat-Sun 9am-5pm

Caplash Dental phone

Call 905-451-2999 to book an appointment Open on Sundays!

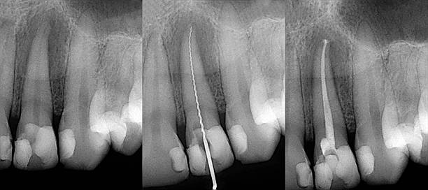
Root Canals Treatment Brampton

Root canal treatment Brampton

Root Canal Work, or Endodontic Dentistry, is conducted on the root and soft tissue beneath the tooth. Root Canal procedures may be needed even when the upper portion of the tooth appears normal and healthy, but disease, damage or infection is evident in soft tissue inside the root and around the root. As this area contains connective tissues, blood vessels and nerves, it’s necessary for the dentist to have undertaken additional specialist education in order to perform this work.

Root Canal treatment can require two visits to our clinic and uses local anesthetic to maintain the patient’s comfort throughout the procedure.

Should any of the following symptoms become persistent, it may be a sign of a problem with a root, and as such we would recommend that you contact us to schedule a checkup.

  • Sensitivity to hot or cold food or drinks
  • Sensitivity when applying pressure to the top of the tooth
  • Pain experienced in or beneath the tooth while eating or chewing
  • Swelling in the face
  • Toothache that prevents sleep
Caplash Dental whatsapp